Investigadores de la Universidad Politécnica de Madrid, University of Antioquia y Johns Hopkins University, describen en este artículo CoronavIAruX, una herramienta de apoyo al diagnóstico basada en inteligencia artificial para evaluar pacientes con Covid-19 a partir del análisis automático de radiografías convencionales de tórax.
*Por Juan Ignacio Godino, Jorge Andrés Gómez-García, Julian Arias-Londoño y Laureano Moro-Velázquez
Resulta indiscutible que el futuro del diagnóstico en medicina pasa por la estrecha cooperación entre médicos e ingenieros.
Y en la batalla contra la covid-19, los médicos no están solos. Los ingenieros también nos hemos embarcado en la tarea de frenar la pandemia. Concretamente, y ante la significativa carga de trabajo que el diagnóstico y la evaluación de la covid-19 supone para los expertos en radiología, hemos puesto en marcha CoronavIAruX.
Se trata de una herramienta de apoyo al diagnóstico basada en inteligencia artificial para evaluar pacientes con covid-19 a partir del análisis automático de radiografías convencionales de tórax.
Protocolos de diagnóstico de covid-19
Es bien conocida por todos la utilidad del test RT-PCR para diagnosticar la infección por el coronavirus SARS-CoV-2. Lo que la mayoría desconoce es que el protocolo estándar de diagnóstico clínico recomienda complementar esta prueba con una radiografía simple de tórax. Entre otras cosas, para reducir el número de falsos negativos de la RT-PCR.
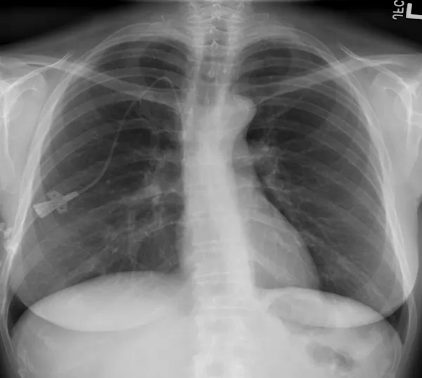
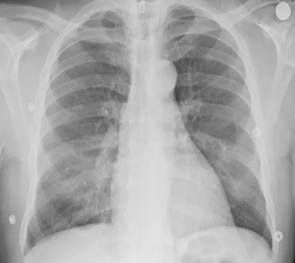
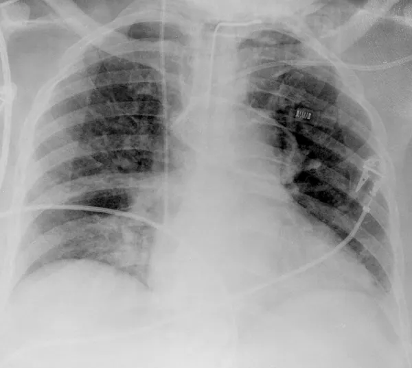
Se recurre a esta técnica de imagen porque, debido a la afectación primaria del sistema respiratorio, la infección por SARS-CoV-2 deja evidencias radiológicas de neumonía visibles bajo los rayos X. Concretamente, la neumonía asociada a la covid-19 produce sombras en los pulmones conocidas como opacidad de vidrio esmerilado. Estas opacidades suelen aparecer con una distribución periférica o posterior, principalmente en los lóbulos inferiores y con menos frecuencia en el lóbulo medio derecho.



A esto se suma la enorme ventaja de que hablamos de un método rápido, poco invasivo, de bajo coste, y que requiere de una logística muy sencilla para su realización. De ahí que, desde febrero de 2020, la Organización Mundial de la Salud considere la radiografía de tórax criterio diagnóstico y de evaluación de la infección por SARS-CoV-2. En la misma línea, la Sociedad Española de Radiología de Urgencias también la recomienda en sus pautas oficiales.
Daños pulmonares por la covid-19 incluso en asintomáticos
En los dos primeros días de la infección, el 50% de los pacientes de covid-19 ya muestra lesiones pulmonares parenquimatosas, superando el 90% entre los 3 y 5 días. Lo sorprendente es que esto ocurre incluso en pacientes asintomáticos. Por ello, complementar la RT-PCR con una radiografía de tórax mejora la sensibilidad en el diagnóstico, reduciendo significativamente el número de falsos negativos. Es importante porque los falsos negativos son precisamente el talón de Aquiles de la prueba RT-PCR, cuya sensibilidad oscila entre el 70-90%. Otra ventaja importante es que la radiografía está lista en cuestión de minutos.
La única pega al uso de esta técnica es que su despliegue masivo tiene un significativo cuello de botella: la necesidad de radiólogos expertos para interpretar y analizar las imágenes. Adicionalmente, el análisis individual de la radiografía de tórax, tal y como lo conocemos, también adolece de una baja sensibilidad, lo que sugiere la necesidad de herramientas complementarias de análisis computerizado.
En este contexto, los sistemas de diagnóstico asistidos por computadora tienen la capacidad de ayudar a los radiólogos a interpretar con mayor rapidez y precisión las imágenes de radiografía para detectar casos de covid-19.
CoronavIAruX
Apoyados en la capacidad que los modelos basados en inteligencia artificial tienen para obtener información que incluso está oculta al ojo humano, investigadores de la Universidad de Antioquia, la Johns Hopkins University y la Universidad Politécnica de Madrid hemos desarrollado un prototipo de sistema computarizado de diagnóstico de la covid-19 y de evaluación del grado de afectación de los pulmones a partir de imágenes radiológicas de tórax. Dicho sistema ha sido desplegado en un prototipo de aplicación en la nube siguiendo un modelo de software como servicio.
La herramienta proporciona un método objetivo complementario, mínimamente invasivo para el diagnóstico, que evalúa el grado de afectación por la covid-19. Alcanza una precisión por encima del 90%, superior incluso a la alcanzada por los expertos en radiología. Además, proporciona evidencias con capacidad diagnóstica en estadios incipientes de la enfermedad (los cinco primeros días).
La herramienta también identifica el área de mayor afectación y permite cuantificar de forma objetiva lo extenso de la infección. Sin olvidar que reduce significativamente el tiempo dedicado por los expertos en radiología a la evaluación de cada paciente.


Para el entrenamiento de los modelos computacionales se ha compilado una base de datos de más de 70 000 imágenes que han sido extraídas de distintas fuentes públicas. El corpus contiene radiografías correspondientes a tres clases principales: pacientes con la covid-19 (8 500 imágenes cedidas por HM Hospitales y el Banco de Imagen de la Región Valenciana), pacientes con otros tipos de neumonías (de origen vírico, bacteriano o fúngico, e incluyendo diversas comorbilidades), y sujetos de control. Con objeto de compensar el sesgo que podría introducir el desbalance de clases, el corpus de imágenes se completó con técnicas de síntesis para el aumento de datos.
Se trata del primer sistema de estas características que ha sido entrenado con un volumen de datos a mediana-gran escala, evidenciando la utilidad de combinar inteligencia artificial con técnicas simples de imagen médica para mejorar el diagnóstico de la .
Aunque CoronavIAruX es aún un proyecto en desarrollo, si se cumplen las previsiones contribuirá de forma significativa a reducir la carga de trabajo del especialista en radiología, ayudándole a realizar un diagnóstico certero, rápido y objetivo.
*Juan Ignacio Godino Llorente, de la Universidad Politécnica de Madrid (UPM), Jorge Andrés Gómez-García, de la Universidad Politécnica de Madrid (UPM), Julian Arias-Londoño, University of Antioquia, y Laureano Moro-Velázquez, Johns Hopkins University
**Artículo publicado de forma original en The Conversation